Most Deadly & Treatable Types of Cancer
Following heart disease, cancer is the second leading cause of death in the US and worldwide. About 20 million people were diagnosed with cancer in 2022, with around 9.7 million succumbing to the disease. Despite these facts, some types of cancer are highly treatable, especially when detected early. With that in mind, here are the 10 deadliest forms of cancer—and the 10 most curable.
1. Lung Cancer
One of the most deadliest and common types of cancer is lung cancer, which begins as a growth of new cells in the organs filling the cavity of your chest. Those who smoke are 15 to 30 times more likely to die from lung cancer, according to the Centers for Disease Control and Prevention.
2. Colorectal Cancer
Colorectal cancer affects both the large intestine and the rectum, developing first as benign polyps that form in the colon which may eventually become malignant. The best preventative method and diagnosis test for colorectal cancer is a colonoscopy, which is a thin tube with a camera that scans for new growths in the intestine.
National Cancer Institute on Unsplash
3. Brain Cancer
Cancer of the brain is another leading cause of death. It's estimated that 1 million Americans are living with brain cancer; it's also the second most common cancer overall in those aged 15 to 39. Brain cancer isn't limited to one type—there are over 130 different types of brain tumors.
4. Pancreatic Cancer
Affecting the pancreas, pancreatic cancer is incredibly hard to detect in the early stages when it's most curable. It's not until the cancer spreads to other organs and symptoms like belly pain and dark-colored urine start to show that it's diagnosed. By stage four, it's called metastatic and cannot easily be removed or cured.
BruceBlaus. When using this image in external sources it can be cited as: Blausen.com staff (2014).
5. Stomach Cancer
Stomach cancer, also known as gastric cancer, begins in the stomach. In most parts of the world, cancer usually starts in the middle of the stomach, called the stomach body. However in the US, cancer is more likely to start in the esophageal junction, where the esophagus and stomach meet.
6. Gallbladder Cancer
The gallbladder rests underneath the liver on the right side of the body and is shaped like a pear. It stores bile, a fluid made by the liver that's used to digest food. Cancer of the gallbladder is rare and symptoms don't often present until it's in the advanced stages, where the chance of survival is extremely low.
7. Cervical Cancer
Cervical cancer is a growth of cancerous cells that starts in the cervix, the opening at the lower part of the uterus. It's typically caused by HPV (human papillomavirus), which is transmitted through intimate contact. According to the World Health Organization, it's the fourth most common type of cancer affecting women worldwide.
8. Liver Cancer
Liver cancer is one of the fastest-growing cancers in the US. It can start in the liver or the bile ducts; these are both primary forms of liver cancer, where it begins in the liver. Secondary cancer is when the malignant cells spread to your liver from elsewhere in the body.
9. Esophageal Cancer
The tube that connects your mouth to your stomach is called the esophagus. Cancerous growth can begin anywhere along the tube and is much more common in men than in women. One of the most telltale signs of this cancer is difficulty swallowing.
10. Ovarian Cancer
Ovarian cancer affects the reproductive system in women. Cancer can be hard to diagnose, since it may sometimes form in ovarian cysts, which typically don't show symptoms until they're much bigger. While it can develop at any age, the risk increases as you get older and it's most common in women over 50.
Those are some of the deadliest forms of cancer—now let's jump into the most treatable.
1. Thyroid Cancer
The thyroid is a butterfly-shaped gland resting at the base of the neck, just under the Adam's apple. Initial symptoms may include neck swelling, voice changes, and difficulty swallowing. While most types of thyroid cancer grow gradually—with some other forms being aggressive—it's a relatively curable cancer with treatment.
National Cancer Institute on Unsplash
2. Testicular Cancer
Testicular cancer begins as a growth of cells in the testes. Though not a common cancer, it can develop at any age for men, especially between the ages of 15 and 45. The first sign that something may be amiss is feeling a new lump on the testicle. The silver lining is that while this cancer grows quickly, it's highly treatable even in later stages when it has spread to other parts of the body.
3. Skin Cancer
The occasional sun tan session can be a great way to relax and wind down, but too much ultraviolet exposure, especially without diligent reapplication of SPF, can lead to skin cancer. This cancer has three major types: basal cell carcinoma, squamous cell carcinoma, and melanoma. All are highly treatable when caught early.
Photo By: Kaboompics.com on Pexels
4. Hodgkin’s Lymphoma
Hodgkin's lymphoma affects the lymphatic system, which includes the lymph nodes, spleen, thymus, tonsils, and bone marrow. It begins in a specific type of white blood cell called lymphocytes. While diagnoses of Hodgkin's lymphoma are rare, advancements in screening and treatment have allowed many patients to achieve full recovery.
5. Breast Cancer
Breast cancer is the second most common cancer affecting American women, with skin cancer being the overall most common. Starting as a lump in the breast, it can be sometimes hard to detect as some women may mistake growths as normal tissue. But with advances in screening and treatment, even if no cure exists, there's still a higher survival rate compared to other forms of cancer.
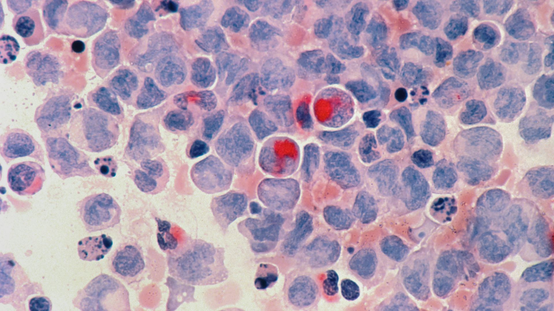
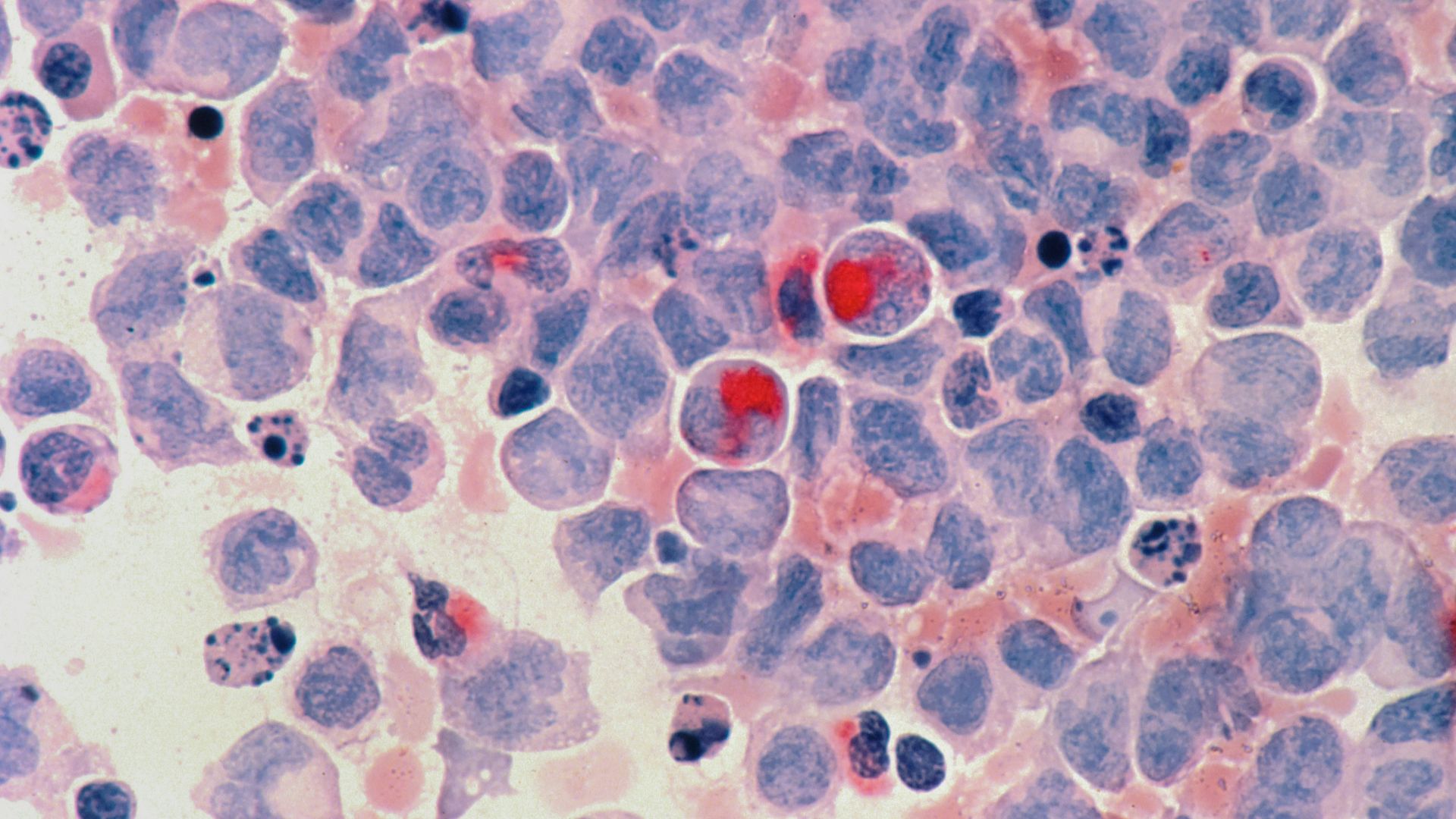
6. Leukemia
The first sign of leukemia (cancer of the blood) typically starts with an abnormal white blood cell count, or leukocytes, which help fight infection in the body. The bone marrow produces too many which don't function properly, and crowd over the space for healthy red blood cells, white blood cells, and platelets. While leukemia isn't curable, there's generally a high chance of survival, especially in those with acute lymphoblastic leukemia.
National Cancer Institute on Unsplash
7. Uterine Cancer
Uterine cancer is cancer of the uterus, which is part of a woman's reproductive system. There are two types of uterine cancer: endometrial cancer, which develops in the inning liner of the uterus, and uterine sarcoma, which develops in the muscle wall of the uterus. The prognosis is generally very good when detected in the early stages.
8. Prostate Cancer
Prostate cancer is one of the most common cancers affecting men. While this cancer is typically slow-growing and confined in the prostate gland—when it's the most treatable—it may sometimes spread to other parts of the body quickly and aggressively.
9. Oral Cancer
Oral cancer, or cancer of the mouth, can occur anywhere in the lips, gums, tongue, inner cheeks, and roof or floor of the mouth. Symptoms may include a sore that won't help or a white or reddish patch inside the mouth. Smoking, alcohol, and sun exposure can all increase your risk of oral cancer, but it's highly treatable when found in the early stages.
10. Renal Pelvis and Ureter Cancers
Cancers of the renal pelvis and ureter are uncommon—less than 6000 people in the US are diagnosed each year. Symptoms typically include frequent urination and blood in the urine. If found in the early stages, the prognosis is very good and can be cured.
KEEP ON READING
20 Ways to Deal With Your Sweet Tooth
20 Low-Impact Exercise Ideas For People Over 50
















